
Whether visualizing the smallest vessels in an aneurysm, precisely placing a flow diverter, seeing beyond the clot, or working slowly through a complex AVM, the challenge is to see clearly and navigate effectively. You must quickly assess the problem and confidently target the lesion, while preserving healthy tissue. Our AlluraClarity family of X-ray systems with ClarityIQ technology enables you to smoothly maneuver through complex anatomy at 73% reduction in dose. Multimodality Live Image Guidance and procedure-based applications help improve workflow. Sign up to receive exclusive updates on Live Image Guidance.
Our Live Image Guidance expands clinical capabilities through intelligent and intuitive integration of multi-modality images at the point of treatment, enabling confident diagnoses and real-time therapy monitoring.



AlluraClarity motion compensation corrects for subtraction artifacts, automatically and in real-time. This is particularly important when placing small devices at the base of the skull.



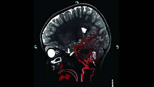
VasoCT (Allura X-ray system with dedicated EPX settings + XperCT + intravenous contrast injection) provides high-resolution imaging of intracranial arteries to help visualize location, size, and direction of an occlusion in case of Ischemic Stroke.


MR/CT Roadmap visualizes lesion boundaries and corresponding vascularization, while helping you to manage X-ray dose and contrast medium. 3D Roadmap provides full 3D view for dynamic guidance of guidewire and catheter navigation through complex vascular lesions.

2D navigation with Roadmap Pro is supported by automatic, real-time motion compensation and decreased subtraction artifacts. Clinical modes are optimized for various clinical applications.
By combining disease centric tools, patient data, and procedural protocols in a single suite, clinicians are supported in each of their specific disciplines. This simplifies clinical workflow and promotes efficiency.



VasoCT visualizes small intra-cranial devices in vessel context with unmatched spatial resolution. Metal Artifact Reduction decreases streaking artifacts as from coil mass close to intra-cranial devices.



FlexVision XL visualizes brain vasculature at the capillary level in both 2D and 3D and allows flexible switching of videos sources, screen layout, and image size from tableside.
An innovative set of techniques, programs, and practices are used to deliver high quality imaging for a full range of clinical procedures at ultra low dose. This enables comfortable treatment of radiation-sensitive patients and helps manage staff exposure.



A revolutionary new generation of interventional X-ray systems, AlluraClarity with Clarity IQ technology provides high quality imaging for a full range of clinical procedures at ultra low dose levels and provides an enhanced work environment for staff through active management of scatter radiation.


Integration of multi modality imaging using pre-acquired MR/CT potentially can help to increase efficiencies.


Ceiling mounted X-ray system allows the angio unit to be positioned to either side of the table for easy access to patient. It can be moved aside or completely out of the way when desired.


Stroke treatment is growing, fueled by availability of new devices. Philips Stroke Suite contains: XperCT, VasoCT, MR/CT Roadmap, XperGuide, FlexVision XL, and Roadmap Pro.


Real-time, procedure-based feedback on scattered X-ray dose (during and after the procedure), to help manage radiation exposure for patients and staff
We are committed to working with you to reduce re-admissions, streamline work flow, and increase patient volume by opening the door to new procedures and techniques. By supporting a wide range of procedures you can increase system utilization and reduce the total cost of ownership. Flexible service contracts protect your investment over its entire lifecycle, increasing uptime and providing easy access to upgrades and innovations.
You are about to visit a Philips global content page
Continue