Cardiac imaging
Cardiac MR

Cardiac imaging

Leading the way in precision diagnosis

 

The rapidly growing demand for Cardiac examinations is generating an increasing tension between the cost of care and diagnostic confidence. Strengthen your clinical confidence and cardiac care efficiency with smart diagnostic systems, optimised workflows and integrated patient data. Empower a precise diagnosis and clear care pathway for every patient with robust insights integrated into workflows along the patient journey.

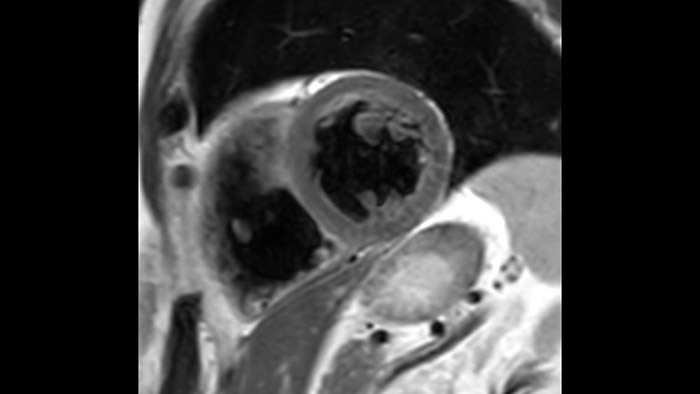
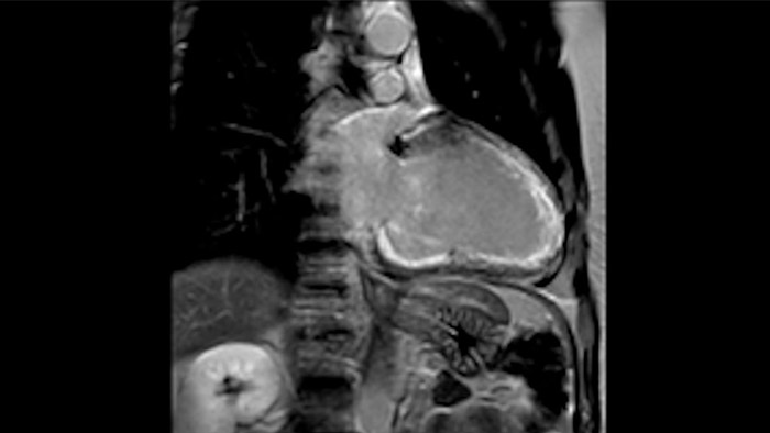
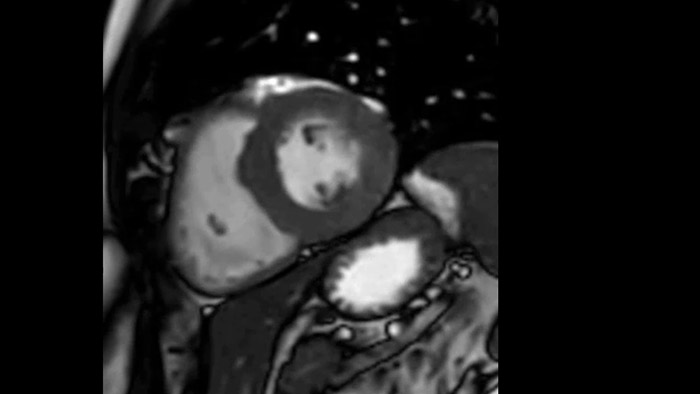
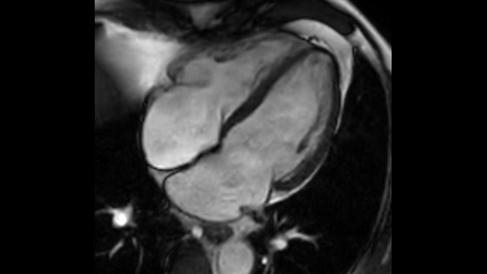
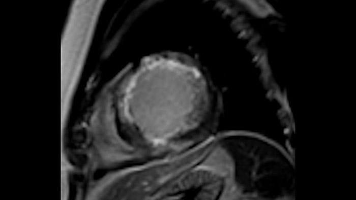
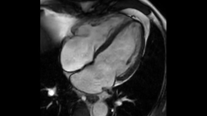
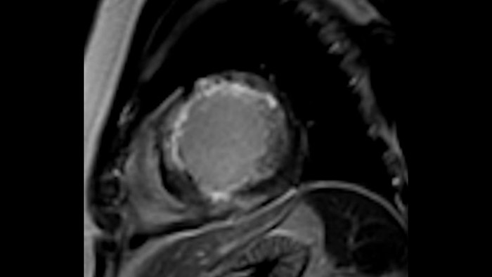
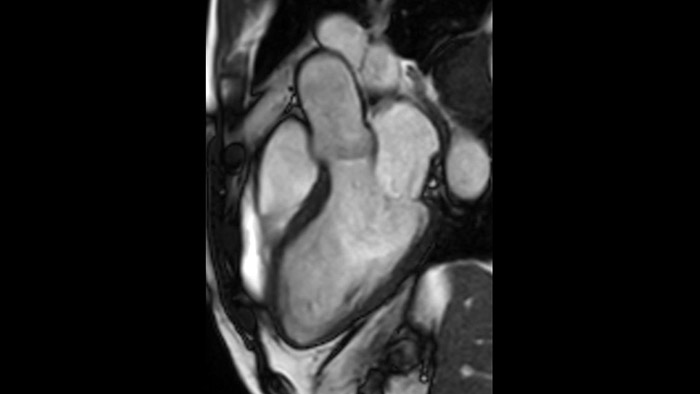
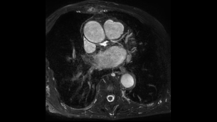
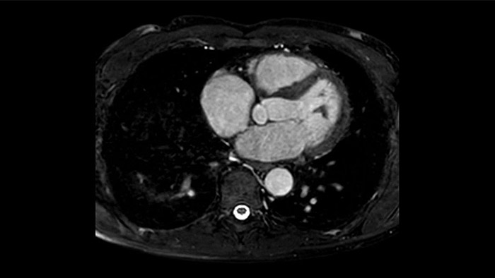
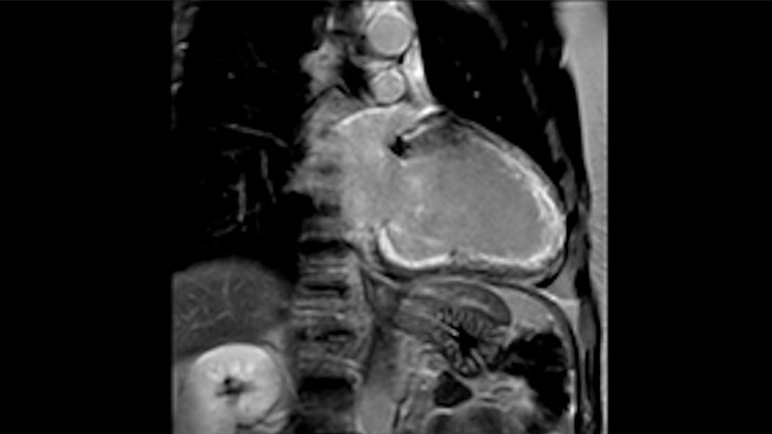
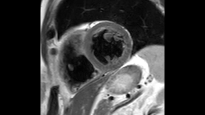
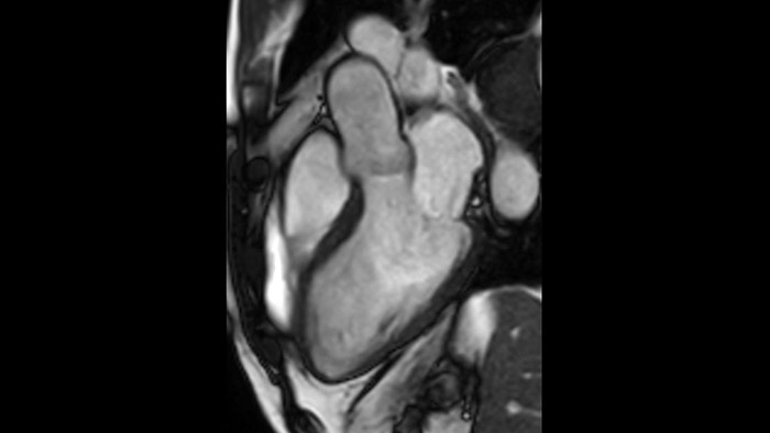
Clinical images

Videos

Health Continuum
MyoStrain

Transforming the Cardiac Care Continuum

Today's diagnostics often cannot detect heart dysfunction until symptoms occur. MyoStrain utilises segmental strain to measure 48 segments of the heart and provides physicians with a unique diagnostic tool to help identify regional dysfunction before the heart as a whole is affected.

Sebastian Kelle

Sebastian Kelle, MD, FESC, FAHA, FSCMR


Professor of Cardiac MRI,

Head of Cardiac MRI/Director MRI Core Lad for the German Heart Center Berlin & Charite University Medicine Berlin, Germany

Ramad Danrad

Ramad Danrad, MD


Associate Professor of Clinical Radiology,

Associate Professor of Internal Medicine,

for LSU Health New Orleans, USA

On Demand webinar

 

Strengthening clinical confidence and cardiac imaging efficiency

 

In this webinar, Prof. Sebastian Kelle and Prof. Raman Danrad are sharing their experiences utilising a 1.5T MR system and spectral CT for improved cardiac imaging. They are also discussing the perspectives on the current impact of COVID-19 and talk about new clinical guidance for managing the disease into its post acute phase.

Features

Clinical confidence in cardiac MR

Clinical confidence in cardiac MR

 

Due to the design of the BlueSeal magnet there is a negligible energy transfer from gradient coil to the magnet. This allows to maintain perfect B0 stability overtime which is especially beneficial for B0 sensitive acquisitions like cardiac bTFE sequences.

Accelerate workflow for your cardiac exams

Accelerate workflow for your cardiac exams

 

IntelliSpace Portal offers a Comprehensive Cardiac MRI Suite, providing dedicated workflows for functional analysis, viability, LGE, cardiac mapping assessment and RV/LV functional analysis in less than 5 min. per case1.

Up to 40% reduction in breathholds

Up to 40% reduction in breathholds

 

Addition of Compressed SENSE to your cardiac exams reduces the time spent in the MRI scanner for the patient and enables the reduction of breath hold times while maintaining virtually equal image quality4. Compressed SENSE is applicable to both 2D and 3D acquisitions.

Comprehensive cardiac MR imaging

Comprehensive cardiac MR imaging

 

Diagnostic and prognostic utility of cardiac MR is increasing. Assess the anatomy and function of the heart using cine acquisitions, acquire information about perfusion and viability of the cardiac tissue, visualise potential edema with black blood sequence, access and even quantify tissue characterisation with CardiacQuant.

Guidance at your fingertips

Guidance at your fingertips

 

VitalScreen provides not only guidance in the placement of the coil, it also offers the possibility to see the ECG signal already in the scanner room. When performing a stress perfusion scan, you do not need to leave the scanner room to monitor the heartrate.

Automated breathing control

Automated breathing control

 

Cardiac examinations contain a lot of breath hold commands. AutoVoice eliminates these repetitive tasks for the MR technologist. In combination with VitalEye, breath hold commands are triggered within the natural breathing cycle of the patient, providing superior image quality2 and a better patient experience.

MR exams for patients with MR Conditional cardiac devices

MR exams for patients with MR Conditional cardiac devices

 

Pacemakers are not a hard contra-indication for CMR, there are many MR Conditional pacemakers. ScanWise Implant3 offers step-by-step guidance to enter condition values of the implant manufacturer and automatically apply these values to the entire examination.  Simplifying your scanning process for patients with MR Conditional implants.

Enhance patient cooperation

Enhance patient cooperation

 

In-bore Connect provides real-time information and guidance to the patient during scanning, enhancing compliance. A personalised progress bar indicates duration and information about scan progress while comfortable headphones allow patients to receive breath hold cues. An immersive video experience distracts and entertains patients while lying in the bore.

Create a premium radiology experience

Create a premium radiology experience

 

Since cardiac patients are usually quite sick, it is even more important to create a patient friendly environment. Ambient Experience solutions is a holistic approach, providing an immersive, multisensory experience. Patients can personalise the MR examination room with dynamic lighting, projection and sounds. This creates positive distraction and reduces stress.

Enhance patient comfort

Enhance patient comfort

 

Offer a comfortable table experience to your patients thanks to the ComfortPlus mattress. An average of 90% of patients in severe discomfort finds it easy to lie still on the ComfortPlus mattress during the exam. The clinical images obtained using the ComfortPlus mattress are of a similarly high diagnostic quality to those acquired witha standard table mattress.

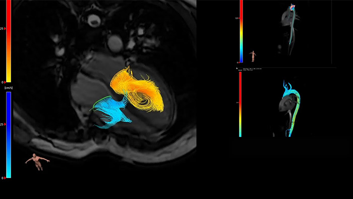
Visualize and evaluate blood flow

Visualise and evaluate blood flow

 

IntelliSpace Portal MR Caas5,6 4D Flow post-processing solution enables generation of 3D volume reconstructions, to visualise and evaluate blood flow in cardiovascular structures, including heart valves, chambers, and vessels, based on cardiovascular MR 4D Flow imaging.

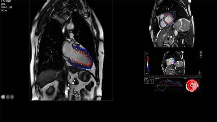
Quantify Myocardial Strain

Quantify Myocardial Strain

 

IntelliSpace Portal MR Caas5,6 Strain7 assists in patient diagnosis and monitoring by providing global strain parameters such as global longitudinal strain (GLS), global circumferential strain (GCS), and global radial strain (GRS), using short and long axis MR images, as well as describing the myocardium deformation- such as shortening, thickening, and lengthening during the cardiac cycle.

MR Body Map

MR Body Map

 

Clinical cases from nearly every anatomy 

 

Explore 100+ clinical cases from your peers around the globe, that showcase how Philips MR digital technology strengthens your imaging needs.

Endless possibilities with
Philips MRI systems and solutions

Our integrated MR solutions offer new levels of speed and productivity as they drive confident diagnoses and foster a brighter, more confident future for everyone.

*

Contact information

* This field is mandatory

*
*
*
*
*
*
*
*
*

By specifying your reason for contact we will be able to provide you with a better service.

We work with partners and distributors who may contact you about this Philips product on our behalf.

*
*

Final CEE consent

1. Average RV/LV analysis time measured on validation study 4.2 min +/- 0.4

2. Compared to Philips belt-based signal. Requires an unobstructed line of sigh

3. Only for use with MR Safe or MR Conditional Implants by strictly following the Instructions For Use

4. Compared to scans without Philips Compressed SENSE

5. Caas is a trademark of Pie Medical Inc.

6. These functionalities may not be available in all territories. Please contact your Philips representative for more details.

7. Not available for US.

You are about to visit a Philips global content page

Continue

You are about to visit a Philips global content page

Continue

Our site can best be viewed with the latest version of Microsoft Edge, Google Chrome or Firefox.