FieldStrength MRI magazine
User experiences - August 2018
In the months after they integrated Compressed SENSE in their MRI ExamCards, KOYASU Neurosurgical Clinic (KNC) in Kanagawa, Japan, has been able to scan over three additional MRI patients per day on average. Compressed SENSE made it possible to decrease time slot length from 20 to 15 minutes per patient without sacrificing image quality. This resulted in several observable benefits for the KNC team.

Hideki Koyasu, MD Neurosurgical Clinic in Kanagawa, Japan.
Neurosurgeon and Director of KOYASU

Katsuhiro Shiba, RT
Radiological technologist and Chief of
Radiological Technology at KOYASU
Neurosurgical Clinic in Kanagawa, Japan.
Early in 2017, the MRI scanners were usually fully booked, and scanning often continued past the regular opening hours, leading to staff overtime. Also, the full schedule barely allowed for the accommodation of urgent patients that were referred the same day, and for whom MRI results were needed quickly. Yet, the facility prefers to have such flexibility, allowing for efficient outpatient visits that include physician consultations as well as diagnostic imaging on the same day. This is why Dr. Hideki Koyasu, President of KOYASU Neurosurgical Clinic, was immediately interested in being among the first sites to implement Compressed SENSE, a Philips technology for up to 50% faster 2D and 3D MRI scans*.
KOYASU Neurosurgical Clinic serves patients within its neurosurgery, neurology, cardiovascular and radiology departments. It houses two Philips MRI systems, Ingenia 3.0T CX and Ingenia 3.0T. MRI operation time typically lasts 9-10 hours per day during weekdays, and 5 hours per day on Saturdays. The radiologists work remotely and receive the cases via a network.
Time slots of 20 minutes were allotted for patient positioning and scanning. The actual examination time slot was between 15 and 20 minutes for brain and lumbar spine MRI exams; cervical spine exams lasted slightly longer.
KNC decided to add the Compressed SENSE functionality on their Ingenia 3.0T CX. On average, about 27 patients per day were scanned on this MRI scanner prior to implementation of Compressed SENSE. Brain examinations were by far the largest fraction of examinations, though lumbar spine, cervical spine and a few other exams were also done.
“We started scanning with a new set of ExamCards in which several sequences were replaced by sequences with Compressed SENSE,” says Dr. Koyasu. “We performed only a little further tailoring of ExamCards to meet our preferences. And as a result, we now can scan four brain exams per hour instead of only three before using Compressed SENSE.” The KNC team significantly reduced the scanning time of their most used ExamCards, see table and diagram.
In November 2017, the Philips team in Japan installed the Compressed SENSE functionality on the Ingenia 3.0T CX, including a set of ExamCards.
“We still perform as many sequences as before we had Compressed SENSE – it’s just much faster now,” says MRI technologist Katsuhiro Shiba.
“In September and October our average number of patients per day was about 27 on Ingenia 3.0T CX. We started using Compressed SENSE in November and we completed that month with scanning an average of more than 33 patients per day. That is 6 more patients per day than in September and October!”
Reduction of scanning time with Compressed SENSE
in ExamCards of KOYASU Neurosurgical Clinic

| KNC ExamCard | Total scan time before | Total scan time with Compressed SENSE | Change |
| Brain | 15:48 min. | 10:19 min. | -35% |
| Cervical spine | 13:11 min. | 9:52 min. | -25% |
| Lumbar spine | 11:41 min. | 8:17 min. | -34% |
These Ingenia 3.0T CX ExamCards with Compressed SENSE can be downloaded on NetForum
in each month after KNC started using Compressed SENSE
Average number of examinations per day

This 11-month diagram shows that the average number of patient examinations per day on the Ingenia 3.0T CX has increased since Compressed SENSE is used. Although the highest throughput was achieved in the first month of using Compressed SENSE, the graphs demonstrate the realization of higher throughput of 14% on average over a longer term.
Average number of examinations per day (9:00 - 18:00)

In order to exclude the effect of overtime, the daily average number of patients scanned between 9:00 and 18:00 h was also calculated. It confirms that on average three additional patients per day were scanned since implementation of Compressed SENSE.
MRI technologist Shiba is working daily with Compressed SENSE. “We manage to perform most of our MRI examinations within 15 minutes now, which includes the time needed to exchange patients,” he says. “In MRI we are working with two staff members – one for operating the scanner from behind the console and one for screening and positioning patient. Thanks to the faster scanning with Compressed SENSE, we are currently operating MRI quite efficiently. I think that our MRI operation is gradually becoming similar to our way of working in CT scanning,” says Shiba.
Dr. Koyasu points out the key strength of Compressed SENSE. “It significantly speeds up our scanning, and in my perception, we obtain the same image quality as before without Compressed SENSE.”

“When motion artifacts occur, we usually repeat a sequence within the same examination. Before we used Compressed SENSE, it was quite common to perform rescans because of motion artifacts,” Shiba says. “We see motion quite rarely now. We believe that patients are moving less when our scans are faster. So Compressed SENSE can help us there as well.”
According to Dr. Koyasu, the acceleration provided by Compressed SENSE is accompanied by some additional benefits. “Compressed SENSE helps us to reduce the time that a patient needs to lie still in the magnet bore. This is nice for patients and can also benefit image quality, as in general the occurrence of motion artifacts tends to be worse in longer scans,” he says.
“The shorter exams alleviate the pressure on our full daily schedule of MRI patients,” says Shiba. “Thanks to Compressed SENSE, we have increased the number of MRI examinations that we perform and on top of that we also manage to reduce overtime. We are happy to finish our work days earlier than before.” “We can now provide a more flexible and faster MRI service to our patients and referring physicians,” says Dr. Koyasu. “For instance, when a referring physician is requesting it, we can now quite smoothly insert an additional MRI examination without previous appointment on the same day. Referring physicians as well as MRI staff indicate that their stress level is reduced when this workflow works well.”

“We now only need about 10 minutes of scan time for a brain exam – and we still get the same amount of images and equal quality. We even managed to make a very useful improvement: we replaced the 43-second T2* FFE by a 43-second SWIp, which is more powerful for us in making confident diagnoses in certain patients.” “SWIp was not previously included in our standard protocol, because of its slightly longer scan time. SWIp provides high resolution 3D susceptibility weighted imaging in the brain, which helps to visualize small deoxygenated blood or calcium deposits. Now, with Compressed SENSE, we can perform 3D SWIp in only 43 seconds, so we have included SWIp instead of the 2D T2* FFE that we used previously. Without adding scan time, we now get SWIp images in every routine brain scan and it helps us increase our diagnostic confidence in certain cases.”
The most frequently used brain MRI examination at KNC included approximately 15 minutes of scanning time, and was quite comprehensive with fairly short scan times. When Compressed SENSE became available, its great impact on the brain exam quickly became clear.

Scanning time reduction in brain MRI with Compressed SENSE

With Compressed SENSE, the scan time for the routine brain examination at KNC was reduced from 15:48 to 10:19 minutes, which corresponds to 35% reduction.


Ingenia 3.0T CX
Scan time 15:48 min.








Brain with Compressed SENSE
Ingenia 3.0T CX
Scan time 10:19 min.








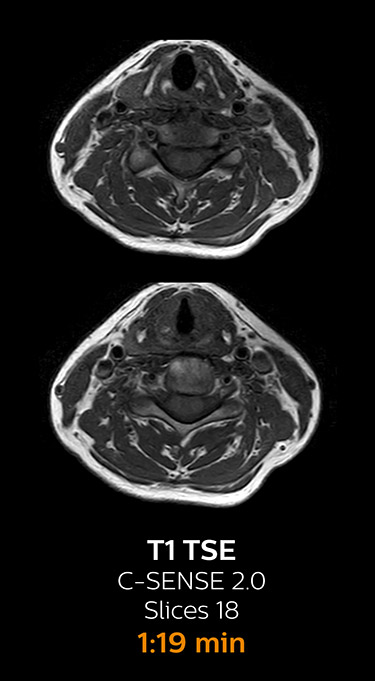
With Compressed SENSE, the scan time for the routine cervical spine examination at KNC was reduced from 13:11 to 9:52 minutes, which corresponds to 25% reduction.

MRI examination of the cervical spine with Compressed SENSE
Ingenia 3.0T CX
Scan time 9:52 min. (was 13:11 min. without Compressed SENSE)






which corresponds to 34% reduction.
With Compressed SENSE, the scan time for the routine lumbar spine examination at KNC was reduced from 11:41 to 8:17 minutes,

MRI examination of the lumbar spine with Compressed SENSE
Ingenia 3.0T CX
Scan time 8:17 min. (was 11:41 min. without Compressed SENSE)





*Compared to scans without Compressed SENSE
Results from case studies are not predictive of results in other cases. Results in other cases may vary.
You are about to visit a Philips global content page
Continue